एक्स्प्लोर
Health Tips
लाईफस्टाईल
शरीरात लोहाची कमतरता असल्यास 'या' पदार्थांचा आहारात समावेश करा; हिमोग्लोबिन वाढण्यास होईल मदत
आरोग्य
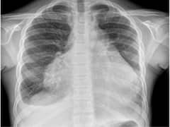
पेरिकार्डियल इफ्यूजन म्हणजे काय?; लक्षणे, कारणे आणि उपचार
लाईफस्टाईल
कोणतंही सप्लिमेंट्स नाही..'या'' अन्नपदार्थांनी दूर होईल व्हिटॅमिन डीची कमतरता, आजपासूनच आहाराचा भाग बनवा
लाईफस्टाईल
सावधान! महिलांसाठी प्लास्टिकच्या बाटलीतून पाणी पिणं धोकादायक ठरू शकतं; 'हा' आजार होण्याची शक्यता
लाईफस्टाईल
एक, दोन नव्हे अनेक रोगांवर रामबाण उपाय आहे 'किवी'; वाचा आश्चर्यकारक फायदे
लाईफस्टाईल
ओट्स खाल्ल्याने ब्रेस्ट मिल्क वाढतं का? जाणून घ्या यामागचं खरं कारण
लाईफस्टाईल
सावधान! जांभई घातक ठरू शकते, वारंवार दुर्लक्ष करू नका, 'ही' लक्षणं वेळीच ओळखा
आरोग्य
एपिलेप्सी म्हणजे काय, जाणून घ्या कारणे, लक्षणे आणि उपचार!
लाईफस्टाईल
बदलत्या जीवनशैलीत मायग्रेनचा त्रास होतो? 'या' 8 टिप्सने मिळवा झटपट आराम
लाईफस्टाईल
हार्मोनल असंतुलनाकडे कधीही दुर्लक्ष करू नका; निरोगी राहण्यासाठी 'हे' 6 पदार्थ खा
लाईफस्टाईल
घरातील डासांना मारणारी मशीन किती वीज वापरते? याचा बिलावर किती परिणाम होतो? वाचा सविस्तर
आरोग्य
गर्भवती महिलांचा आहार कसा असावा? 'अशी' घ्या काळजी; वाचा सविस्तर
Advertisement
Advertisement





















